Retromolar Trigone Cancer

Retromolar Trigone Cancer – Understanding a rare yet aggressive cancer with expert insights from MACS Clinic in Bangalore. This page provides an in-depth look at retromolar trigone cancer, including its symptoms, risk factors, diagnostic methods, treatment modalities, and the emotional and physical rehabilitation that follows. Our goal is to empower you with knowledge and prepare you for informed discussions with your medical team.

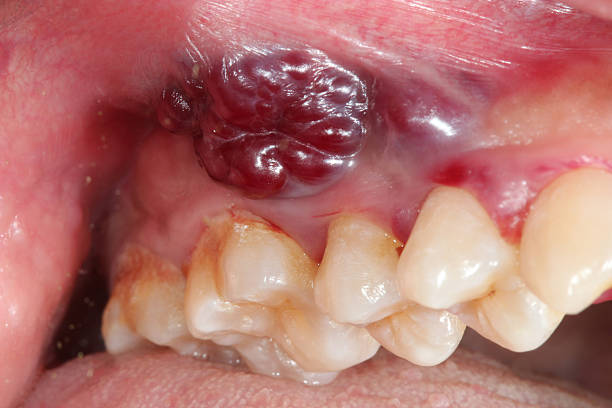
A cancer diagnosis is a life-altering moment. For patients diagnosed with retromolar trigone cancer (RMT cancer), the uncertainty can be even more overwhelming due to the rarity and complexity of the disease. This specific form of head and neck cancer occurs in a small yet critical area behind the last molars, affecting functions like chewing, speaking, and swallowing.

Retromolar trigone cancer requires careful evaluation and a coordinated treatment approach. According to Dr. Sandeep Nayak, a surgical oncologist in Bangalore, “Although rare, retromolar trigone cancer can be aggressive and fast-spreading. With early diagnosis and a carefully tailored treatment plan, outcomes can be significantly improved. Patient awareness and timely intervention are absolutely critical.”

But first, what exactly is retromolar trigone cancer, and why is it so concerning?

What is Retromolar Trigone Cancer?

The retromolar trigone is a small triangular area located behind the last molar on the lower jaw. Despite its size, its proximity to vital structures like the jawbone, muscles, lymph nodes, and throat makes any cancer in this region potentially dangerous and quick to spread.

RMT cancer is a subtype of oral cancer and is often classified under head and neck cancers. It typically manifests as squamous cell carcinoma, though other variants are possible.

Globally, head and neck cancers account for about 4% of all cancers, and in India, the burden is significantly higher due to the widespread use of tobacco products. India reports over 120,000 new oral cancer cases annually, with a considerable portion involving subsites like the retromolar trigone.

According to MACS Cancer specialists, “While most people haven’t even heard of the retromolar trigone, tumors in this area can silently progress and often go unnoticed until they cause severe pain or dysfunction.”

u

Need Assistance?

Noticing unexplained pain or swelling behind your molars? Seek professional evaluation to rule out anything serious. Early intervention can change everything.

Do you think it’s just a sore behind your teeth? It might be more than that.

Symptoms of Retromolar Trigone Cancer

This cancer may not present immediate or obvious symptoms in the early stages. However, certain warning signs should never be ignored. Recognizing the symptoms of RMT cancer early can make a significant difference in survival and quality of life.

Here are common indicators:

Persistent pain near the back of the mouth or jaw (commonly referred to as retromolar trigone pain)
Non-healing ulcers or lesions in the region behind the last molar
Restricted mouth opening (trismus), making eating or speaking difficult
Loose teeth without dental causes
Unexplained bleeding from the mouth
Lump or swelling behind the molars or on the jaw
Difficulty in swallowing or speaking

“Symptoms may mimic dental problems, leading to misdiagnosis or delayed referrals,” says Dr. Sandeep Nayak. “Dentists and general physicians play a crucial role in recognizing red flags and guiding patients to the right specialists.”

Spotting symptoms early is your first line of defense. However, what leads to this condition in the first place?

Risk Factors

Like many oral cancers, retromolar trigone cancer has a clear link to lifestyle and environmental exposures. Here’s what increases your risk:

Tobacco Use
Both smoking and chewing tobacco directly irritate the oral mucosa, increasing cellular mutations.

Alcohol Consumption
Especially when combined with tobacco, alcohol acts as a co-carcinogen.

Poor Oral Hygiene
Chronic irritation from ill-fitting dentures or sharp teeth can lead to cellular changes.

HPV Infection The Human Papillomavirus (especially HPV-16) is increasingly linked to head and neck cancers.

Age and Gender
Men over 50 are more commonly affected, though women and younger patients are not immune.

Nutritional Deficiencies
A lack of vitamin A and iron may compromise the mucosal barrier.

Dr. Nayak emphasizes, “Preventive education is key. Addressing modifiable risk factors can dramatically reduce the incidence of this preventable cancer.”

When there’s suspicion, acting quickly can mean everything. Here’s how experts confirm a diagnosis.

Diagnostic Evaluation

Diagnosing retromolar trigone cancer requires a detailed approach, especially since the area is hard to access.

Here’s how doctors evaluate the condition:

Clinical Examination: An ENT or oncologist performs a thorough oral and neck exam.

Biopsy: Tissue sampling is essential for confirming cancer type and grade.

Imaging Studies: CT scans, MRIs, and PET scans help determine the extent of spread, also aiding in retromolar trigone cancer staging.

Endoscopy: Useful for visualizing deeper structures and ruling out additional lesions.

“Accurate staging guides treatment planning. We focus on both local control and systemic safety,” explains Dr. Nayak. “Our diagnostic protocol at MACS Clinic ensures no detail is missed.”

u

Need Assistance?

Concerned about persistent oral pain or non-healing ulcers? Consult a specialist to understand what’s happening beneath the surface.

So, once diagnosed, what are the next steps?

Treatment of Retromolar Trigone Cancer

Treatment depends on the stage, tumor size, lymph node involvement, and overall health of the patient. A multi-pronged approach is typically employed, these may include:

Surgical Resection

Often, the first line of treatment involves removing the tumor and surrounding tissues. This may involve retromolar trigone cancer surgery, such as mandibulectomy or neck dissection.

Radiation Therapy

Used either post-operatively or as primary treatment in inoperable cases. Modern techniques like IMRT (Intensity-Modulated Radiation Therapy) help preserve nearby structures.

Chemotherapy

Often combined with radiation in advanced cases. Drugs like cisplatin are used to enhance the effect of radiation or shrink tumors pre-surgery.

Targeted Therapy & Immunotherapy

In select cases, targeted agents or immune checkpoint inhibitors may be recommended.

Dr. Sandeep Nayak explains, “Each patient’s treatment is unique. Our goal is to eliminate cancer while preserving critical functions, such as speech and swallowing. Advanced surgical techniques and tailored therapy protocols are essential for this balance.”

However, cancer care doesn’t end with treatment; it’s just the beginning of a new chapter.

Rehabilitation & Support

Recovery after treatment involves not just physical healing, but also emotional and functional restoration.

Supportive care may include:

Speech and Swallow Therapy: Essential after surgery involving oral or jaw structures.

Nutritional Counseling: Maintaining weight and strength during recovery is crucial.

Pain Management: Managing retromolar trigone pain with appropriate medication and support.

Psycho-Oncology Services: Addressing the mental toll of cancer diagnosis and treatment.

“Rehabilitation is as critical as surgery itself,” notes Dr. Nayak. “Our support teams walk with patients long after the surgery is over, because recovery is not linear.”

u

Need Assistance?

Cancer recovery is about more than just survival. Seek expert guidance to navigate post-treatment life with confidence and dignity.

Feeling overwhelmed by all this? You’re not alone, and you don’t have to face it alone. Let’s tackle some common concerns.

FAQs

1. How common is retromolar trigone cancer?
This cancer is relatively rare compared to other oral cancers, but it contributes significantly to morbidity due to its aggressive nature. In India, it forms a small but critical percentage of oral cancer cases.
2. What is the cause of retromolar trigone cancer?
Most cases are caused by long-term exposure to risk factors such as tobacco, alcohol, chronic trauma, and, in some cases, HPV infection. Genetics and poor nutrition may also contribute to this condition.
3. Is retromolar trigone cancer curable?
Yes, if detected early, it is curable with appropriate treatment. Surgery combined with radiation and chemotherapy offers high success rates in early-stage cases.
4. What are the challenges in diagnosing retromolar trigone cancer?
Its hidden location often leads to delayed detection. Symptoms can mimic dental issues, making specialist referrals essential for timely diagnosis.
5. Does retromolar trigone cancer affect quality of life?
Yes, especially if not treated early. It can impact speech, chewing, swallowing, and facial appearance. However, with multidisciplinary care, many patients regain a good quality of life post-treatment.

Disclaimer:  The information shared in this content is for educational purposes only. Individual results may vary. Please consult a qualified doctor for personalized advice